“胸口、肩膀不疼了,终于能正常喘气了!”72 岁的王阿姨躺在北京积水潭医院贵州医院疼痛科病床上,声音虽轻却满是激动,之前满脸的痛苦此刻不见影踪。
原来,就在1周前,她因意外摔倒导致胸椎多发椎体压缩性骨折,其中包括胸2、3椎体——这一位于胸椎上段、解剖结构复杂、毗邻肺尖端、大血管且受肩带骨性结构遮挡,穿刺路径选择困难、手术风险极高的 “相对禁区”,这让她连呼吸、翻身这样简单的动作都伴随撕裂般疼痛。
北京积水潭医院贵州医院疼痛科接诊后,为王阿姨量身定制了高位脊柱骨折微创治疗方案,成功为她实施椎体成形术。
术后,王阿姨的疼痛得到立竿见影的缓解,并迅速恢复了活动能力,极大改善了生活质量,避免了长期卧床导致的系列并发症。这对于高龄、伴有骨质疏松的患者至关重要。
高位胸椎骨折+多合并症
治疗如“走钢丝”
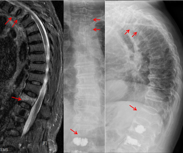
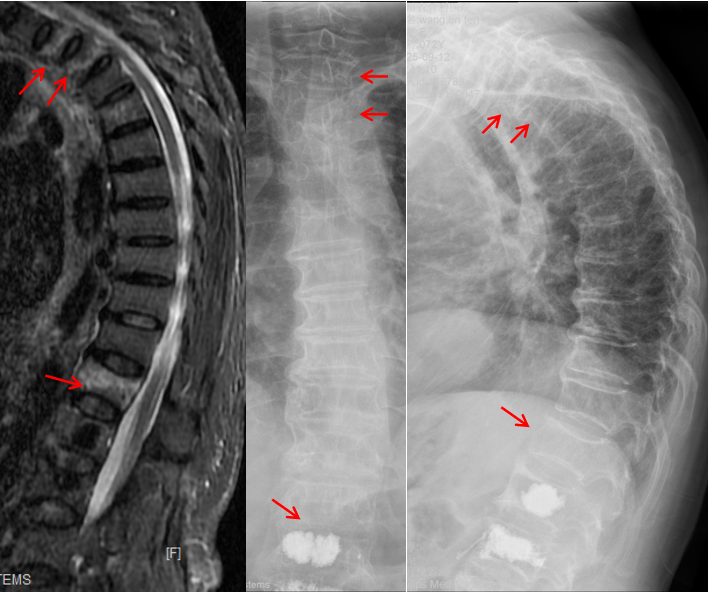
王阿姨的病情,从一开始就牵动着所有人的心。摔倒后,她随即出现胸部、肩背及腰部的剧烈疼痛,哪怕轻微咳嗽、翻身,疼痛都会急剧加剧,甚至连正常呼吸都变得困难。家人紧急将她送往北京积水潭医院贵州医院,经胸腰椎X线与核磁共振检查后,确诊其为胸2、胸3及胸12多发胸腰椎椎体压缩性骨折(图1),其中胸2、3、12椎体骨髓水肿明显,为导致她此次疼痛的“罪魁祸首”。
相较于中下段胸椎及腰椎骨折,高位胸椎(T1-T4)骨折的治疗难度与风险呈几何级上升:
其一,该部位紧邻主动脉、肺动脉、心脏等重要脏器,手术操作稍有不慎,就可能引发大出血危及患者生命;
其二,受肩带骨性结构遮挡,穿刺路径选择困难、手术风险极高。
加上患者的病情复杂:
其一,左侧小腿肌间静脉血栓,长期卧床可能加重血栓形成及脱落风险,导致肺部及心脏的血管栓塞;
其二,高龄让她对手术的耐受度远低于普通患者。
复杂的病情曾一度让下一步的治疗陷入进退两难的境地。选择手术,风险高;不做手术保守治疗长期卧床可能会引发一系列的并发症,甚至危及患者生命。
“此类患者保守治疗效果差,时间长,因疼痛长期卧床往往会诱发坠积性肺炎、深静脉血栓等,严重危及患者健康及生命质量,所以手术还是要尽早做!”北京积水潭医院贵州医院疼痛科副主任、主任医师钱黎在多学科会诊中明确表示。
经过与麻醉科、骨外科、内科专家反复论证,团队最终为王阿姨制定了最合适的手术方案:I期先行胸12椎体成形术,减轻腰背部疼痛,根据术后疼痛改善情况,必要时II期行胸2、3椎体成形术,以最小的创伤实现骨折固定 —— 但这需要手术团队在 “毫米级空间” 内完成操作,更需要麻醉医师、手术室护士的完美配合,难度堪比 “走钢丝”。

多学科护航+实时术中精准导航
破解椎体成形术“相对禁区”难题
为确保手术万无一失,疼痛科团队提前开启 “备战模式”:一方面,联合内科、麻醉科评估患者心肺功能;另一方面,结合术前胸腰椎X线与核磁共振影像资料,组织团队反复研讨穿刺路径,精准规划“安全穿刺路径”。
手术当天,考虑到王阿姨的基础情况,麻醉科团队采用 “静脉麻醉+局部麻醉” 复合麻醉方案,既保证手术穿刺无痛,又最大程度降低呼吸抑制风险。
在C型X线及Dyla CT的实时精准引导下,穿刺针精准抵达胸2、3 椎体。团队随即通过穿刺针缓慢注入骨水泥,在C型X线实时监测下,骨水泥均匀填充至病变椎体中。整个手术历时40分钟,术中出血量不足5ml,术后即刻 X线显示:骨水泥分布均匀,无渗漏,周围脏器与神经未受任何损伤 —— 这场椎体成形术“相对禁区” 的攻坚战,以完美结果宣告成功。

疼痛解除+功能恢复
患者重获新生
手术效果远超预期。当天下午,王阿姨的上背部、胸部及肩部疼痛就明显缓解,呼吸也变得顺畅;术后第2天,她便能在医护人员协助下坐起,疼痛评分从术前的9 分(极度疼痛)降至2分(轻微隐痛);术后第3 天,她已能在床边缓慢行走,不仅能自主吃饭、穿衣,甚至可以短时间坐立看电视。
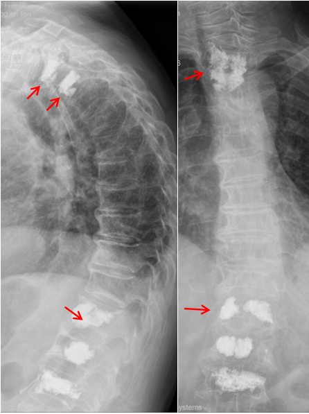
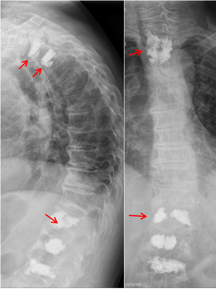
“之前疼得整夜睡不着,连喘气都要小心翼翼,现在终于能正常生活了!” 王阿姨的女儿拿着术后复查的X线片,激动地向医护人员道谢。
在后期康复阶段,疼痛科医护团队还为王阿姨制定了个性化康复计划:教授腰背肌核心力量训练方法,增强脊柱稳定性;制定个体化的抗骨质疏松治疗方案及门诊随诊计划;为防跌倒及健康饮食支招。
扫一扫在手机打开当前页面